THX
Thorax

  • - CT image에서 Airway, Lung field의 Low attenuation area를 분석할 수 있습니다.
  • - 자동으로 Lung의 좌우 및 5개의 Lobe를 분리하고 임의의 bronchus 지점을 기준으로 territory를 분리할 수 있습니다.
  • - 분리한 각 영역에서의 LAA region의 volume, rate 및 mean CT value를 측정할 수 있습니다.
  • - LAA region의 군집도를 시각화하여 평가할 수 있습니다.

  • - 조영 증강된 CT image를 사용하여 Lung, Airway, Vessel, tumor 등을 추출하고 3D로 재구성하고 결과를 관찰할 수 있습니다.
  • - 임의의 Vascular point에서 territory를 분리하고 절제면, 절제면에서의 Vessel 및 territory의 volume 등을 측정할 수 있습니다.
  • - 영역을 분리하고 tumor에서 plane 까지의 최소거리를 자동으로 측정할 수 있습니다.

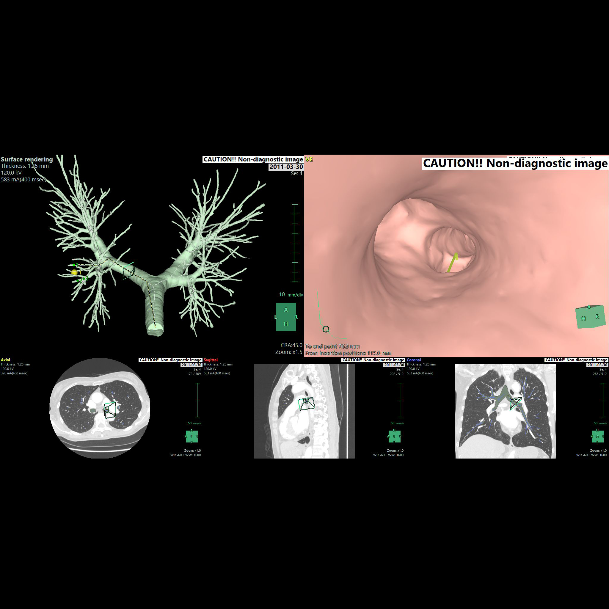
  • - CT image를 사용하여 nodule까지의 path를 구성하고 관찰할 수 있습니다.
  • - Bronchus의 직경 End-point부터 Nodule 까지의 거리 등을 확인하며 가상 내시경을 진행할 수 있습니다.
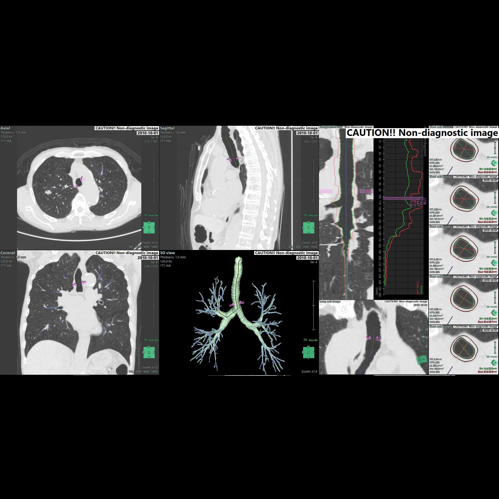
Bronchus CPR
Cluster View
Goddard Score
LAA View
Axial view